Dental Implants
There is no question that dental implants have revolutionized tooth replacement and the practice of dentistry. Today’s highly successful dental implants consist of an artificial tooth root, to which a crown is attached. This system looks just like the natural teeth in your mouth when you smile: there is no visible difference. In addition, Implants do not decay and are relatively free from developing gum disease.
The practice of implant dentistry requires expertise in planning, surgical placement and crown fabrication: it is as much about art and experience as it is about science. It also requires teamwork between you and your dentist, and implant surgeon, and a dental technician.
-
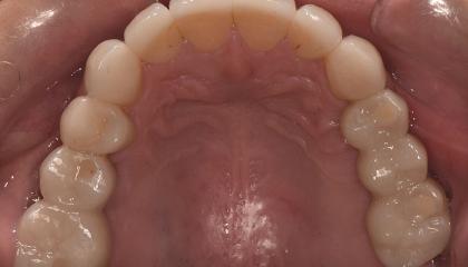
Before
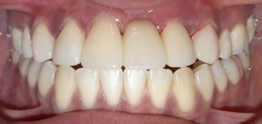
-
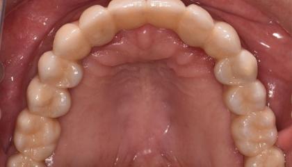
After
-
After
-
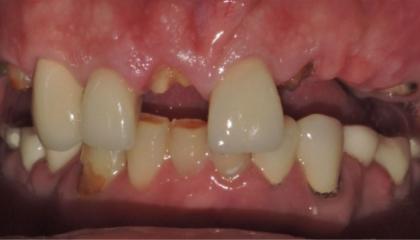
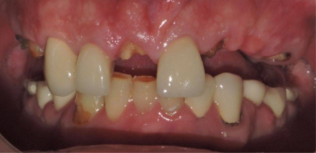
Before
Tooth Replacement
Zirconia bridge on Southern DC Implants
Tooth Replacement
Zirconia Implants
-
After
-
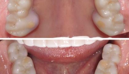
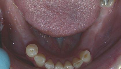
Before
-
Before

-
After

Dental Bridge
Partial denture with precision attachments
-
After
Single Dental Implant


