
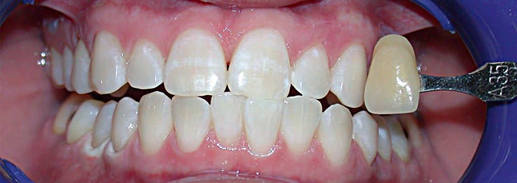
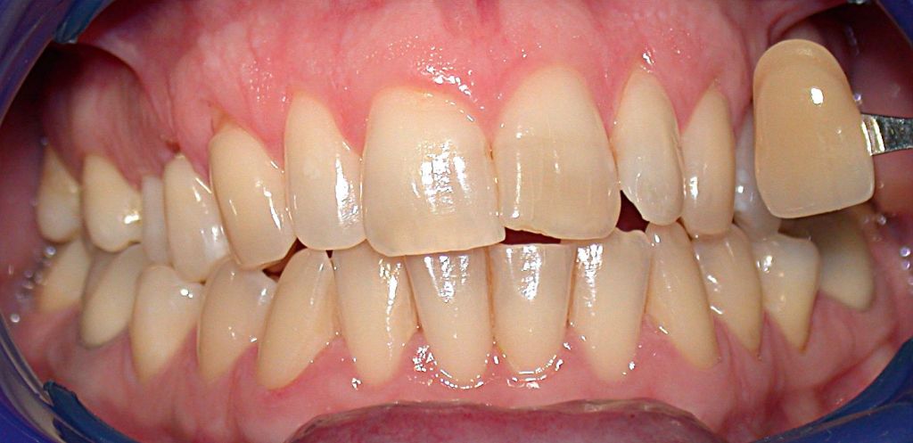
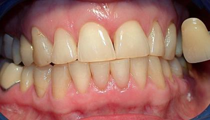
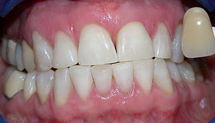
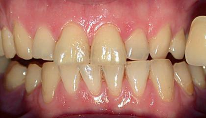
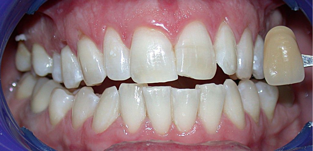
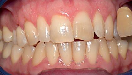
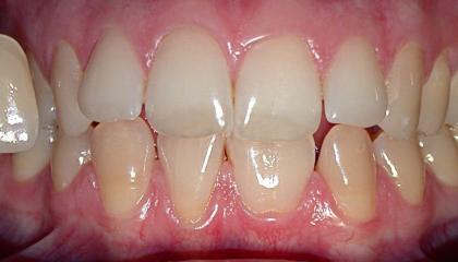
What is Teeth Whitening?
Teeth whitening is the process of lightening teeth and assist to remove stains and discoloration. Whitening is among the most popular cosmetic dental procedures because it can greatly improve how your teeth look and give you back the natural beauty of your smile.
