Dr Kearney Advanced Dentistry
  • Menu

GET IN TOUCH NOW  Phone30.png (012) 663 8810  WhatsApp30.png 082 897 4155  Email30.png smile@drkearney.co.za

Major Tooth Repairs.

  • Baby bottle tooth decay
    Baby bottle tooth decay
  • Direct resin crowns
    Direct resin crowns
  • Zirconia crowns and bridge
    Zirconia crowns and bridge
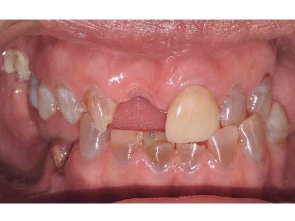
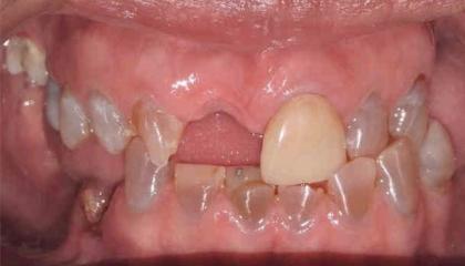
  • Missing front tooth and worn discoloured teeth
    Missing front tooth and worn discoloured teeth
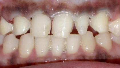
  • Severely damaged teeth
    Severely damaged teeth
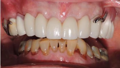
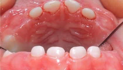
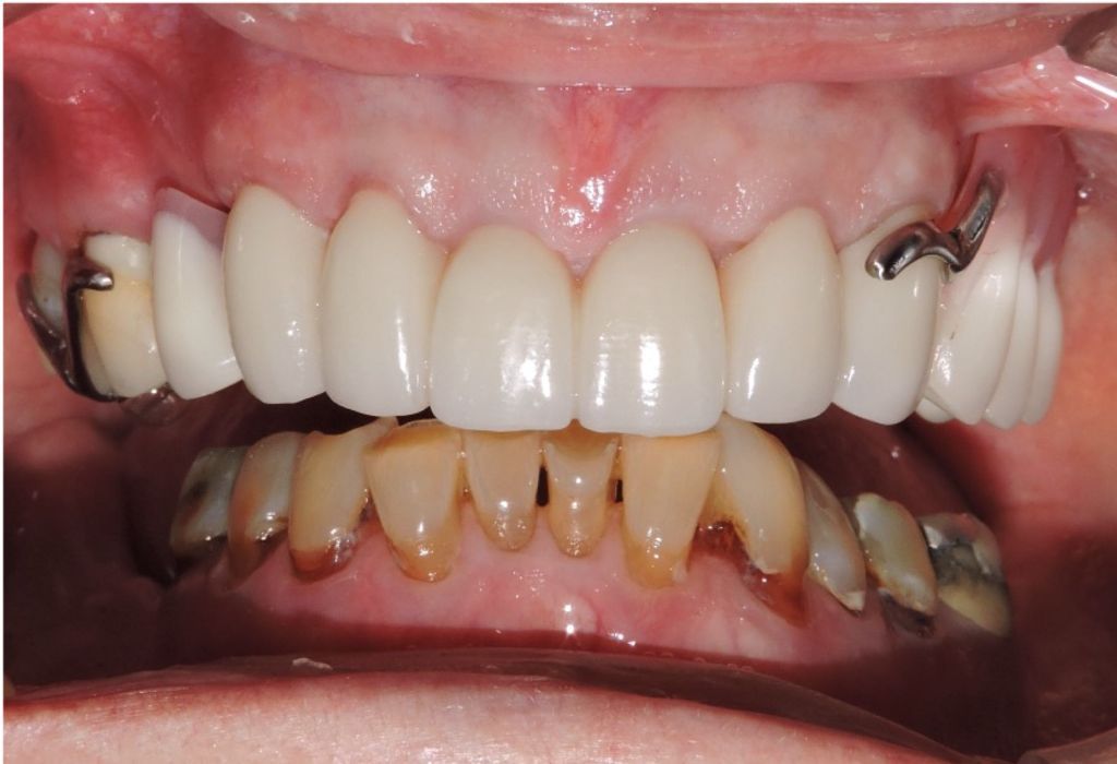
  • Crown lengthenings, zirconia crowns and metal based partial denture
    Crown lengthenings, zirconia crowns and metal based partial denture
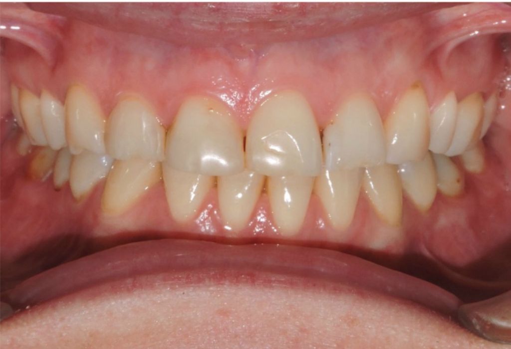
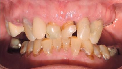
  • e Max ceramic crowns and veneers before
    Severely worn teeth
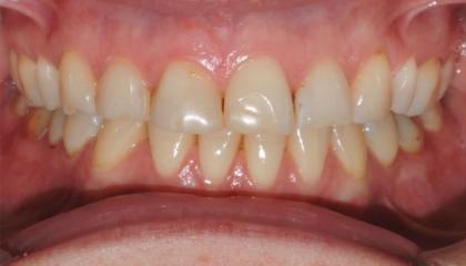
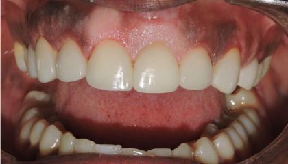
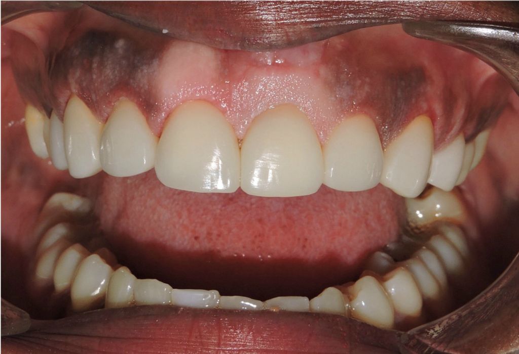
  • e Max ceramic crowns and veneers after
    e Max Ceramic crowns and veneers placed
  • Resin veneers1
    Peg shaped lateral incisor teeth
  • Resin veneers3
    Veneer preparations
  • Resin veneers4
    Teeth reshaped to a more natural appearance
  • P1 1
    Direct resin veneers
  • P1
    Worn front teeth
  • P2 1
    Bleaching of the front tooth and direct resin veneers
  • P2
    Discoloured front tooth and prominent gap
  • P3
    Short misformed front teeth
  • P3 1
    Resin veneers placed after gum lift

Subscribe to our mailing list for news and updates

Get in touch with us

Dr Kearney Advanced Dentistry

  • WE ARE OPEN FROM:
    Monday – Thursday: 08:00 – 17h00
    Friday: 08h00 – 16h00
    Saturday 08h00 – 13h00
  • 2 Blackberry St, Centurion, Pretoria
  • (012) 663 8810
  • smile@drkearney.co.za
  • PO Box 7345, Centurion, 0046
  • S 25° 51' 52.448, E 28° 11' 20.918

Alternative No: 082 897 4155

Find us with Google Maps
Pages
  • Home
  • Book Now
  • News
  • Gallery
About
  • Dr Kearney's Team
  • Payment Options
Services
  • Dental Make-Over
  • Teeth Whitening
  • Teeth Alignment
  • Preventive Dentistry
  • Tooth Replacement
  • Major Tooth Repairs
  • Restoration
  • Surgery
  • Sedation

© Copyright 2026 Dr Kearney Advanced Dentistry. All rights reserved.
Designed by DANNEL WEB DESIGN

  • Home
  • About
    • Menu
    • Dr Kearney's Team
    • Payment Options
  • Services
    • Menu
    • Dental Make-Over
      Dental Make-Over
    • Teeth Whitening
      Teeth Whitening
    • Teeth Alignment
      Teeth Alignment
    • Preventive Dentistry
      Preventive Dentistry
    • Tooth Replacement
      Tooth Replacement
    • Major Tooth Repairs
      Major Tooth Repairs
    • Restoration
      Restoration
    • Surgery
      Surgery
    • new
      Sedation
      Sedation
  • Book Now
  • News
  • Gallery