Dr Kearney Advanced Dentistry
  • Menu

GET IN TOUCH NOW  Phone30.png (012) 663 8810  WhatsApp30.png 082 897 4155  Email30.png smile@drkearney.co.za

Dental Make-Over

Dental Make-Over
& Dental Rehabilitation

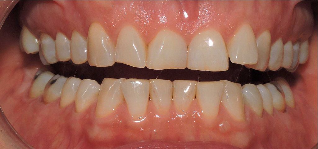
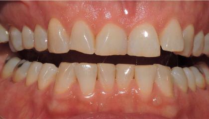
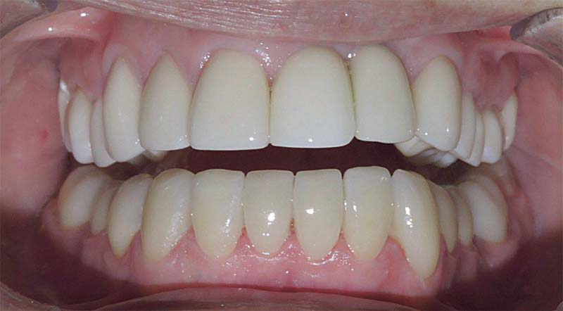
Defective Ceramic Veneers

Livento Swiss ceramic veneers placed after 3D design and gum lift done by Dr Willem Kearney

  • Before
    Before 1.jpg
  • After
    Before 2.jpg
  • Before
    Before
  • After
    After

Treatment with porcelain veneers

The Complete Process

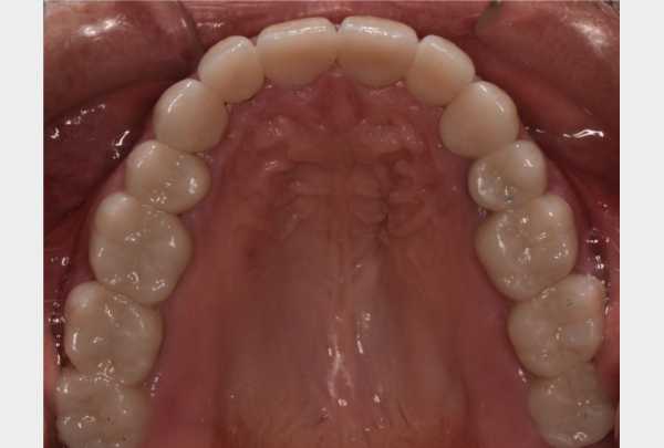
Dental rehabilitation using zirconia crowns

  • Before treatment.jpg
  • Upper arch before treatment.jpg
  • Digital Smile Design (DSD).jpg
  • Simulation before treatment.jpg
  • 3D printed digital model.jpg
  • Fillings and decay removed.jpg
  • Upper arch preparations with core build-ups.jpg
  • Silicone impression.jpg
  • Silicone transfer.jpg
  • Temporary crowns.jpg
  • Plaster models with silicone bite.jpg
  • Zirconia crowns on model.jpg
  • Upper arch after treatment with zirconia crowns in place.jpg
  • After treatment .jpg
  • Before treatment.jpg
  • Upper arch before treatment.jpg
  • Digital Smile Design (DSD).jpg
  • Simulation before treatment.jpg
  • 3D printed digital model.jpg
  • Fillings and decay removed.jpg
  • Upper arch preparations with core build-ups.jpg
  • Silicone impression.jpg
  • Silicone transfer.jpg
  • Temporary crowns.jpg
  • Plaster models with silicone bite.jpg
  • Zirconia crowns on model.jpg
  • Upper arch after treatment with zirconia crowns in place.jpg
  • After treatment .jpg
  • Before
    Before
    Before
  • Clear aligners to straighten the teeth
    Clear aligners to straighten the teeth
  • 3D Stent for  gum lift
    3D Stent for gum lift
  • After
    After   Direct resin veneers placed
    After Direct resin veneers placed
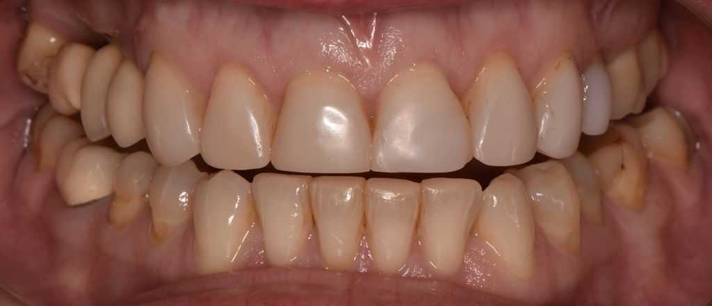
  • After
    makeover02
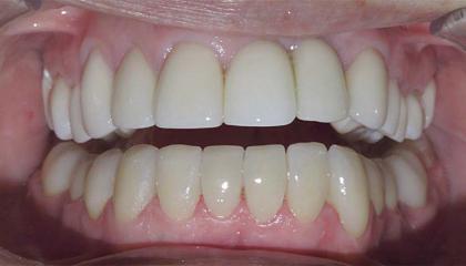
    e Max ceramic veneers placed after gum lift procedure
  • Before
    makeover01
    Gummy smile with short stained teeth
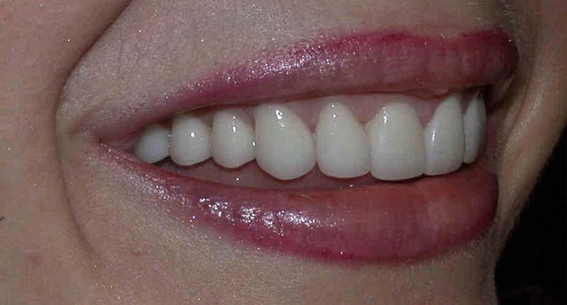
  • makeover04
    Happy patient

Complete Dental

Dental rehabilitation utilising orthodontics, Ankylos bone level implants and zirconia crowns

  • rehab02
    Unrestorable front tooth
  • rehab03
    Skew lower teeth
  • rehabimplants01
    Ankylos bone level implants
  • multirehab03
    Aligned lower teeth after orthodontics
  • multirehab02
    Happy patient after utilizing implants, braces, zirconia crowns and e Max veneers

Subscribe to our mailing list for news and updates

Get in touch with us

Dr Kearney Advanced Dentistry

  • WE ARE OPEN FROM:
    Monday – Thursday: 08:00 – 17h00
    Friday: 08h00 – 16h00
    Saturday 08h00 – 13h00
  • 2 Blackberry St, Centurion, Pretoria
  • (012) 663 8810
  • smile@drkearney.co.za
  • PO Box 7345, Centurion, 0046
  • S 25° 51' 52.448, E 28° 11' 20.918

Alternative No: 082 897 4155

Find us with Google Maps
Pages
  • Home
  • Book Now
  • News
  • Gallery
About
  • Dr Kearney's Team
  • Payment Options
Services
  • Dental Make-Over
  • Teeth Whitening
  • Teeth Alignment
  • Preventive Dentistry
  • Tooth Replacement
  • Major Tooth Repairs
  • Restoration
  • Surgery
  • Sedation

© Copyright 2026 Dr Kearney Advanced Dentistry. All rights reserved.
Designed by DANNEL WEB DESIGN

  • Home
  • About
    • Menu
    • Dr Kearney's Team
    • Payment Options
  • Services
    • Menu
    • Dental Make-Over
      Dental Make-Over
    • Teeth Whitening
      Teeth Whitening
    • Teeth Alignment
      Teeth Alignment
    • Preventive Dentistry
      Preventive Dentistry
    • Tooth Replacement
      Tooth Replacement
    • Major Tooth Repairs
      Major Tooth Repairs
    • Restoration
      Restoration
    • Surgery
      Surgery
    • new
      Sedation
      Sedation
  • Book Now
  • News
  • Gallery