Dr Kearney Advanced Dentistry
  • Menu

GET IN TOUCH NOW  Phone30.png (012) 663 8810  WhatsApp30.png 082 897 4155  Email30.png smile@drkearney.co.za

Teeth Alignment.

Alignment

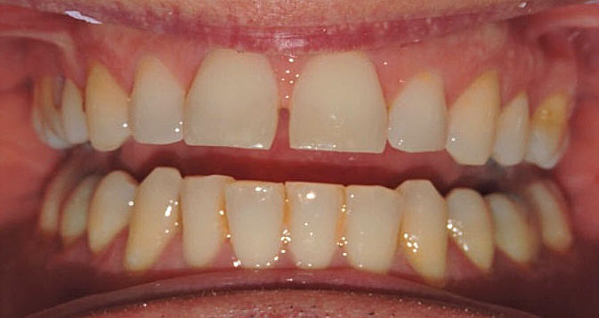
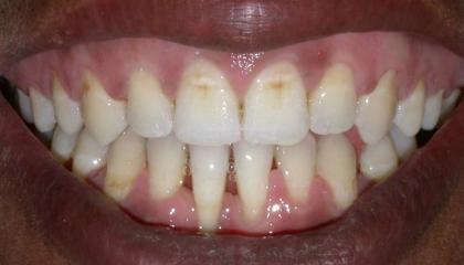
  • Before   Clear aligners
    Before - Clear aligners
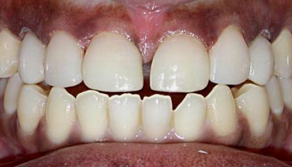
  • After   Clear aligners
    After - Clear aligners
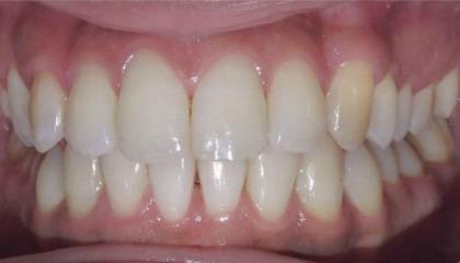
  • Clear aligner
    Clear aligner

Expansion

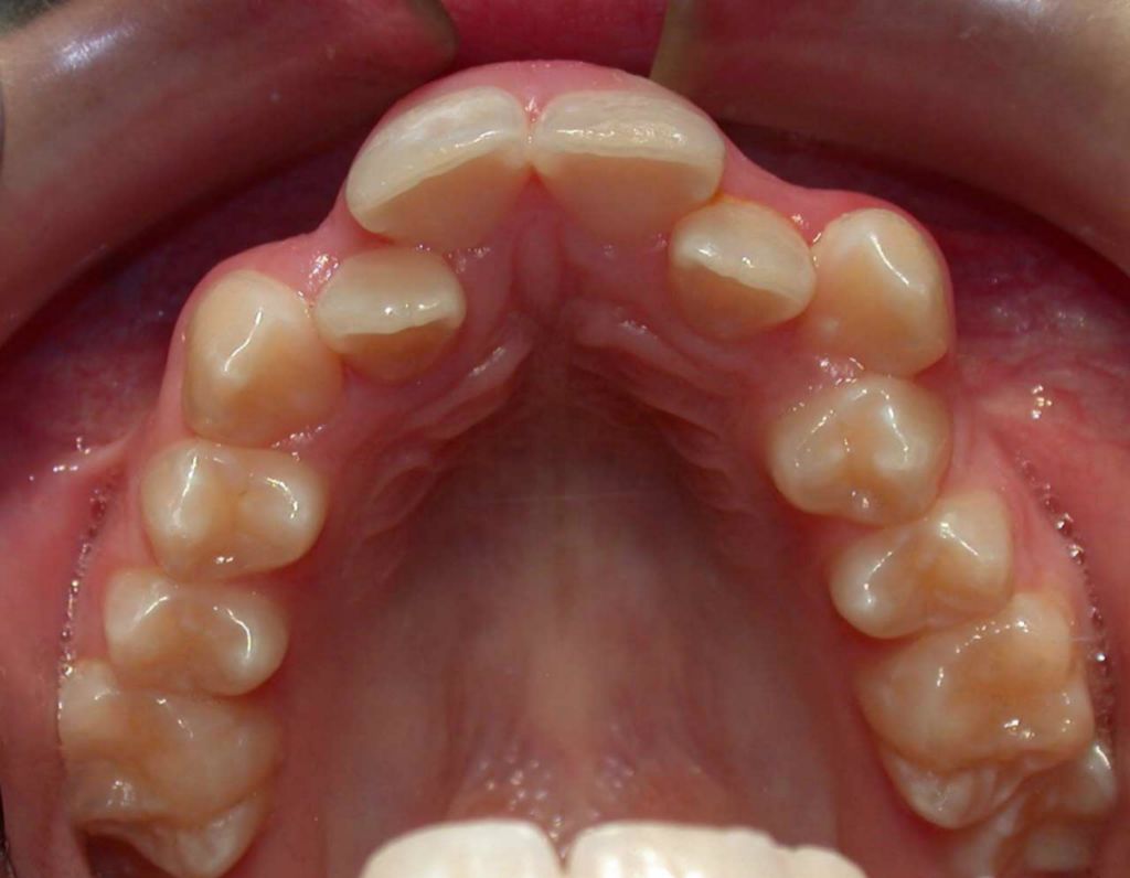
  • Before   Early expansion appliance
    Before - Early expansion appliance
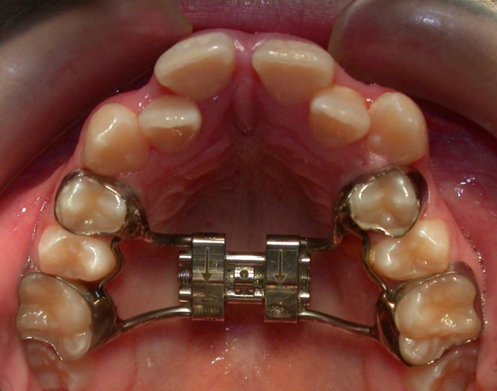
  • After   Early expansion appliance
    After - Early expansion appliance

Adult Braces

  • Adult braces before
    Adult patient with advanced periodontal disease
  • Adult braces during
    Fixed braces after periodontal treatment
  • Adult braces after1
    Healthy restored dentition

Braces

  • Braces before1
    Severely crowded upper teeth
  • Braces during1
    Rapid palatal expander
  • Braces after1
    Perfectly aligned teeth

Glass brackets

  • Glass brackets before
    Adult patient with impacted canine teeth
  • Glass brackets during
    Glass brackets to align the teeth
  • Glass brackets after
    Canine teeth de-impacted

Interceptive Braces

  • Interceptive braces before
    Impacted lower front tooth
  • Interceptive braces during
    Space created for the front tooth to erupt
  • Interceptive braces after
    Front tooth erupting

Resin Veneers

  • Closure of the gap and changing the canine teeth to laterals
    Missing lateral front teeth
  • Closure of the gap and changing the canine teeth to laterals during
    Preparation of the front teeth for resin veneers
  • Closure of the gap and changing the canine teeth to laterals after
    Closure of the gap and canine teeth changed to laterals with resin veneers

Subscribe to our mailing list for news and updates

Get in touch with us

Dr Kearney Advanced Dentistry

  • WE ARE OPEN FROM:
    Monday – Thursday: 08:00 – 17h00
    Friday: 08h00 – 16h00
    Saturday 08h00 – 13h00
  • 2 Blackberry St, Centurion, Pretoria
  • (012) 663 8810
  • smile@drkearney.co.za
  • PO Box 7345, Centurion, 0046
  • S 25° 51' 52.448, E 28° 11' 20.918

Alternative No: 082 897 4155

Find us with Google Maps
Pages
  • Home
  • Book Now
  • News
  • Gallery
About
  • Dr Kearney's Team
  • Payment Options
Services
  • Dental Make-Over
  • Teeth Whitening
  • Teeth Alignment
  • Preventive Dentistry
  • Tooth Replacement
  • Major Tooth Repairs
  • Restoration
  • Surgery
  • Sedation

© Copyright 2026 Dr Kearney Advanced Dentistry. All rights reserved.
Designed by DANNEL WEB DESIGN

  • Home
  • About
    • Menu
    • Dr Kearney's Team
    • Payment Options
  • Services
    • Menu
    • Dental Make-Over
      Dental Make-Over
    • Teeth Whitening
      Teeth Whitening
    • Teeth Alignment
      Teeth Alignment
    • Preventive Dentistry
      Preventive Dentistry
    • Tooth Replacement
      Tooth Replacement
    • Major Tooth Repairs
      Major Tooth Repairs
    • Restoration
      Restoration
    • Surgery
      Surgery
    • new
      Sedation
      Sedation
  • Book Now
  • News
  • Gallery